Valgózní deformita prvního palce nohy postihuje nejčastěji ženy ve zralém věku, ale postihuje i muže. Zdeformovaná základna palce nevypadá esteticky. V tomto případě člověk pociťuje fyzické nepohodlí a v pokročilém stádiu bolest. Vychýlení palce nohy je důsledkem nerovnoměrného zatížení těla chodidla. Takové změny mají škodlivý vliv na nohy a další prsty.
Příčiny zakřivení

Hallux valgus se nevyskytuje bez zjevné příčiny. Tato patologie se objevuje a vyvíjí pod vlivem různých důvodů. Hallux valgus nejčastěji postihuje lidi, kteří jsou k tomuto onemocnění geneticky predisponováni. Lékaři zaznamenávají následující příčiny deformace 1 prstu:
- Nadměrná tělesná hmotnost.
- Endokrinní onemocnění.
- Osteoporóza.
- Ploché nohy.
- Diabetes mellitus.
- Psoriáza.
- Artritida.
- Hormonální změny v těhotenství a ve stáří.
- Nošení těsné obuvi.
- Specifičnost povolání, nutící člověka snášet každý den zvýšenou fyzickou aktivitu na nohou.
Etapy a odrůdy
Lékaři zvažují 3 fáze progrese onemocnění:
- Jemná valgózní odchylka. Objevuje se zarudnutí kůže a také drobné oděrky. Nepohodlí při chůzi.
- Na palci je již zřetelně vidět výrůstek. Je pozorován otok a bolest.
- Tato forma onemocnění je považována za pokročilou. Člověka trápí neustálá nesnesitelná bolest palce a celého chodidla a vzhled zrohovatělé kůže. Bolest neustupuje ani během spánku.
Vznik nepříjemného hallux valgus ovlivňuje mnoho faktorů. Odborníci identifikovali následující typy deformací prstů jako samostatnou kategorii:
- Křížová deformita. Zakřivení se vyskytuje v různých směrech. Prsty se kříží navzájem.
- Zakřivení kloubů do takové míry, že jsou vždy v ohnuté poloze. V první fázi vývoje patologie mohou být prsty nuceny narovnat se pomocí rukou. Pokud se v této době léčba nezahájí, prsty ztuhnou natolik, že je již nemůžete narovnat rukama. Nyní se to bez operace neobejde.
- Taylorova deformace. Patologie postihující malé prsty. Charakterizovaný výskytem výrůstku na kostech.
- Zakřivení falang, připomínající háčky.

Mezi odborníky patří baletky ohrožené rozvojem hallux valgus. Tanec na prstech u nohou zvyšuje tlak na prsty, což vede k jejich zakřivení. Nesprávná chůze může také způsobit nežádoucí výsledky. Provokující faktory se zhoršují i věkem.
Diagnostické metody
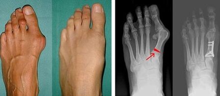
Pokud vizuální vyšetření a rentgenové paprsky neposkytnou žádný výsledek, je pacient odeslán na plantografii, aby se určily možné ploché nohy. Tato metoda spočívá v pořízení otisků chodidel, na základě kterých se pacientovi vyrobí obuv nebo vložky s ortopedickými vlastnostmi. Poté je pacientovi předepsána podometrie. Tato metoda využívá počítačovou analýzu k určení tlaku váhy osoby na chodidla. Výsledky pokročilé diagnostiky jsou základem pro volbu léčebné metody zakřivení prvního a druhého prstu nohy.
Nevýhodou RTG vyšetření je nutnost ozařování nohou pacienta, což řada pacientů nemá ráda. Myslí si, že je to příliš škodlivá metoda. V tomto ohledu nelze bez výsledků plantografie zahájit účinnou léčbu hallux valgus.

Toto je nejlepší informativní diagnostická metoda. S jeho pomocí lékař zjišťuje nejen přítomnost plochých nohou, ale také stav klenby nohou. Počítačové vyšetření je nejúčinnějším způsobem, jak odhalit ploché nohy.
V první fázi identifikace valgusu palce a malíčku u nohy lékař provede vizuální vyšetření. Tímto způsobem určuje stupeň vývoje patologie. Aby bylo možné identifikovat podrobné změny v kloubech, jsou předepsány rentgenové snímky a plantografie.
Drogová terapie
Je lepší začít s jemnou léčbou nohy, stejně jako palce, dříve, než dojde ke konečné fázi vývoje patologie. Odborníci vědí, jak tuto patologii léčit, ale nevědí, jak vyléčit pokročilou formu onemocnění bez chirurgického zákroku. Nejprve lékaři určí příčinu zakřivení prstů a také přítomnost komplikujících faktorů. Jak je známo, úkol lékové terapie zahrnuje symptomatickou terapii. To znamená, že bolest, zánět a otok jsou odstraněny.
Nejčastěji jsou pacientům předepsány nesteroidní protizánětlivé léky. Kromě své hlavní funkce snižují bolest a horečku. Při komplikacích jsou často předepisovány hormonální kortikosteroidy. Pokud je deformace prstů způsobena onemocněními vnitřních orgánů, pak mohou být klouby opraveny po vyléčení základní patologie. V tomto případě jsou do problému zapojeni endokrinologové spolu s dalšími vysoce specializovanými specialisty. Mnoho lidí se snaží vyléčit pomocí lidových léků a zapomíná, že je to možné pouze v počáteční fázi vývoje patologie.
Pokud je patologie zaznamenána v počáteční fázi, pak se vbočený palec narovná pomocí zařízení - plastových nebo silikonových podložek s ortopedickými vlastnostmi. Během léčby byste měli nosit měkké, prostorné boty. K narovnání vbočených prstů se používají ortopedické vložky, podpěry klenby a další korektory. Deformované prsty jsou fixovány speciálními dlahami, kroužky, čepicemi a hřebeny. Pomocí takových zařízení jsou prsty zajištěny ve správné poloze. Díky ortopedickým fixátorům se zastavuje rozvoj další deformace prstů.
Existují dva způsoby léčby hallux valgus. Prvním je bezbolestná korekce deformity, která nevyžaduje chirurgický zákrok a rehabilitaci, druhým je léčba pomocí operace.
Chirurgické metody léčby

Úplné vyléčení hallux valgus je možné pouze pomocí chirurgického skalpelu. Někdy stačí jen jedna operace a pacient na problém navždy zapomene. Lékař provádí chirurgický zákrok s přihlédnutím k typu deformace hallux valgus. Nejběžnější typy operací jsou:
- Exostektomie. Odstraní se pouze určitá část metatarzální kosti.
- Resekční artroplastika. Koncová část metatarzální kosti je odstraněna.
- Osteotomie. Používá se k odstranění metatarzální kosti, stejně jako malého prvku falangy.
- Resekce. Operace je zaměřena na odstranění postižených měkkých tkání a následnou transplantaci zdravých tkání na jejich místo.
- Artrodéza. Poskytuje nucenou nehybnost kloubů.
- Distální osteotomie. Operace zahrnuje zmenšení úhlu mezi klouby.
- Odstranění zanícené burzy palce u nohy.
- Instalace implantátů.
Období rehabilitace po operaci může trvat až sedm týdnů. Během těchto několika týdnů se obvykle provádějí speciální preventivní opatření. Především se jedná o terapeutická cvičení, která podporují:
- zlepšení zdravotního stavu;
- snížení bolesti při chůzi;
- zvýšení tonusu svalů nohou;
- instalace a fixace deformovaného spoje v jeho přirozené poloze.
Délka rehabilitačního období nejčastěji závisí na tom, jak složitá operace byla. Chcete-li urychlit zotavení, měli byste začít hýbat prsty druhý den. Po týdnu se pacient již může postavit na nohy a při dodržování preventivních opatření se pomalu pohybovat. Hlavní věcí je vyhnout se dlouhodobému stresu.
Po operaci budete potřebovat kvalitní měkkou a prostornou obuv. Kupuje se na doporučení lékaře. Mimochodem, pokud začnete dělat terapeutická cvičení na samém začátku vývoje hallux valgus, můžete se obejít nejen bez chirurgického zákroku, ale také bez plýtvání penězi na různé přístroje, masti a léky.
Odborníci tvrdí, že možnost chirurgické léčby dává prakticky stoprocentně pozitivní výsledky. Tato šetrná léčebná metoda nevyžaduje anestezii a nezpůsobuje stres ani psychické strádání. Bezbolestné léčebné metody však nejsou schopny zachránit člověka z poslední fáze onemocnění.
Preventivní opatření

Preventivní opatření jsou vcelku jednoduchá – nošení pohodlné obuvi se širokou špičkou, jejíž vnitřek netlačí na prsty. Klouby a chodidla obecně jsou schopny odolat hmotnosti, která se nahromadila během lidského růstu, aniž by způsobily újmu. Proto je velmi důležité sledovat svou tělesnou hmotnost, abyste se vyhnuli obezitě.
Jedno z účinných preventivních cvičení je následující: člověk sedící na židli s nohama na podlaze jimi pohybuje prsty.
Další cvičení zahrnuje chůzi naboso po podlaze, střídavě na špičkách a patách.
Jednoduchá gymnastika je zvládnuta rychle, což dává vzniknout složitějším fyzickým cvičením. Poté můžete provádět akce, jako je zvednutí tužky nebo jiného předmětu z podlahy.
Je lepší předcházet deformaci palce, než následně stát ve frontách ve zdravotnických zařízeních, abyste dostali doporučení lékaře k výběru účinné léčby.























